Aortic dissection and intramural hematoma (IMH) are both acute aortic syndromes that can present similarly but have distinct pathophysiological differences and implications for management. For example, both can present with acute chest pain radiating to the back, often described as “tearing” or “ripping” in nature with or without hemodynamic instability. Shared risk factors include hypertension, atherosclerosis, and connective tissue disorders.
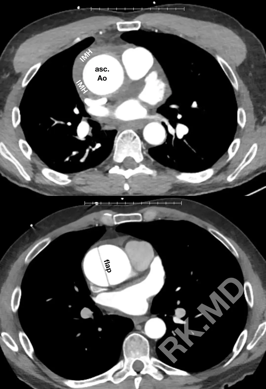
Whereas aortic dissection involves a tear in the intimal (innermost) layer of the aorta, allowing blood to enter the media and creating a false lumen bordered by the intimal flap, IMH is characterized by rupture of the vaso vasorum, leading to hematoma formation in the media layer without a resulting intimal flap. The gold standard for diagnosis (and differentiating the two) is gated CT angiography to evaluate the aortic wall and lumen. Either syndrome can progress to pericardial tamponade, involvement of the aortic valve or coronary arteries, and even aortic rupture.
The management of dissection and IMH is initially centered around achieving impulse control to reduce aortic wall stress; the decision for surgery is dependent on the location of the pathology, evidence of ongoing progression, instability, etc. For example, a type A dissection with evidence of hemodynamic instability and hemopericardium is a surgical emergency whereas a type B IMH can often be medically managed with impulse control and interval imaging.






