Virchow’s triad of stasis, vascular damage, and hypercoagulability contribute to thrombosis. Although patients on extracorporeal membrane oxygenation (ECMO) are usually on pharmacologic anticoagulation (i.e., heparin), it’s still possible to form clots in areas of sluggish flow such as Y-connectors and the membrane oxygenator.
ECMO Hand Crank
Extracorporeal membrane oxygenation (ECMO) has a few basic parts: an inflow (“drainage”) cannula, mechanical blood pump, membrane oxygenator, heat exchanger, and an outflow (“return”) cannula. In a motor failure, pump flow can be maintained via a hand crank while troubleshooting the problem.
Alaris® Pump Dynamic Pressure Display
It’s relatively easy to determine the drug name, concentration, volume to be infused (VTBI), and dose/rate for medication on an Alaris® infusion channel. But what does that horizontal bar for each infusion represent?!
Right Upper Lobe Bronchoscopy
As an intensivist and cardiothoracic anesthesiologist, bronchoscopy is an incredibly common procedure I perform in the ICU (from in front of the patient) and OR (from behind the patient). A small camera on the end of a flexible tube is sent down an indwelling endotracheal or tracheostomy tube to visualize the airway, suction secretions, etc. Less often, I’ll do “awake bronchs” using topical anesthetics and IV sedation in patients without secure airways.
Tendyne Transcatheter Mitral Valve Replacement (TMVR)
Abbott’s Tendyne transcatheter mitral valve replacement (TMVR) offers an alternative to MitraClip for patients with symptomatic, moderate-severe mitral regurgitation who are not suitable candidates for a traditional, open surgical mitral valve replacement. The ongoing, multicenter, international SUMMIT Trial will be looking at outcomes over the next few years.
S1-Q3-T3 EKG Pattern
S1-Q3-T3 refers to an EKG pattern first described in the 1930s suggestive of cor pulmonale in a case series of patients with pulmonary embolism (PE).
ICY DOCK EZConvert PRO SSD Mounting Tray For Drobo
Roughly a year ago, I upgraded my storage server to a Drobo 8D Thunderbolt direct-attached storage (DAS). Since then, I’ve had no issues with this DAS and have enjoyed the incredible read-write performance.
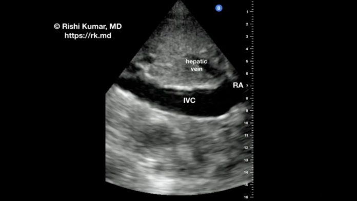
POCUS – IVC Versus Aorta
The subcostal view of the inferior vena cava (IVC) is used to assess IVC diameter and respirophasic variation to gauge “volume status.” However, in my clinical practice, I find this technique fairly useless outside of the extremes. For example, an IVC diameter of 28 mm makes me less inclined to give volume and more concerned about right-heart dysfunction, hypervolemia leading to venous congestion, etc.
I obtain this view by palpating the xiphoid process, moving just inferior to it, and aiming my ultrasound probe straight down to the spine with the probe indicator facing the patient’s head.
The superior and inferior vena cavas are “right-sided” structures, whereas the thoracoabdominal aorta is a “left-sided” structure. Because the IVC and aorta both run longitudinally in this view, it’s important to distinguish one structure from the other. Panning the ultrasound beam rightward will reveal the IVC with the hepatic vein(s) draining into it as well as the IVC-right atrium (RA) junction. Panning the ultrasound beam leftward will reveal the thicker-walled aorta, which runs alongside the spine and does not show respiratory variation. Remember, pulsatility alone is unreliable (think about patients on mechanical circulatory support, severe tricuspid regurgitation, etc.)!
In this video, I pan back and forth between the IVC and descending aorta on my Butterfly iQ+ to show the subtle but important differences between these structures. I often use point-of-care ultrasound (POCUS) as a cardiothoracic anesthesiologist and intensivist in my OR and ICU practices.
Drop me a comment below with questions!
Surgicel
Surgicel is an oxidized cellulose hemostatic agent used to control bleeding. It creates a physical barrier to blood loss while promoting localized vasoconstriction and platelet aggregation within the matrix of fibers. Furthermore, due to a localized drop in pH (acidosis), Surgicel provides some degree of bactericidal activity.
Thermogard – Targeted Temperature Management (TTM)
Targeted temperature management (TTM) following out-of-hospital cardiac arrest (OHCA) has been shown to confer survival and neuroprotective benefits. A 2016 review in Resuscitation found this to also apply to a wide scope of patients (unwitnessed arrest, persistent shock, non-shockable rhythms, etc.). Based on a 2013 NEJM RCT by Nielsen et al., there was no statistically significant difference in all-cause mortality in 950 unconscious patients presenting after OHCA with a TTM goal of 33°C versus 36°C.












